Los test PCR de Covid-19 podrían ser reemplazados por radiografías que den el resultado en minutos

Se ha afirmado que el programa de Inteligencia Artificial ofrecería resultados en cuestión de minutos y sería un gran impulso para el personal sanitario.

|
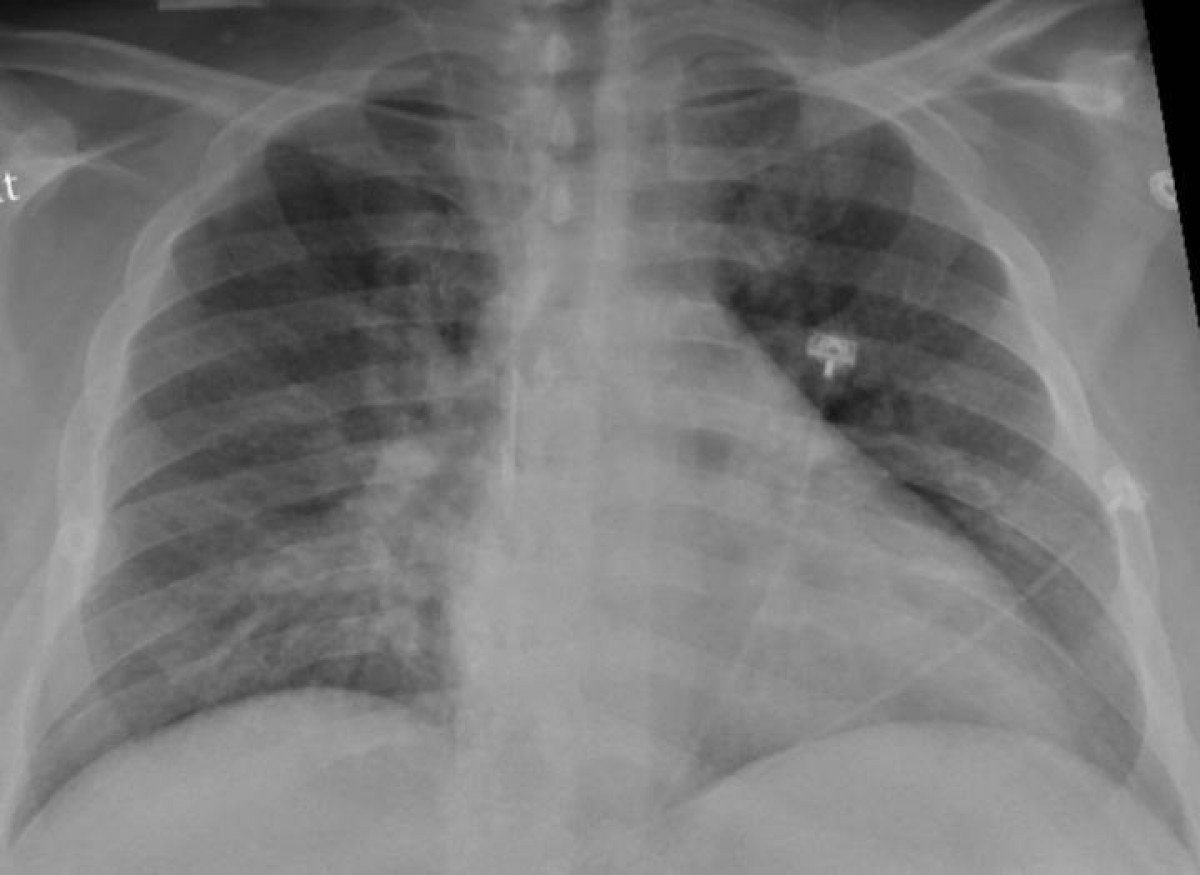
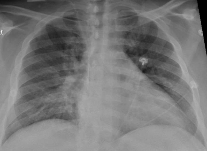
Archivo - La radiografía de tórax de un paciente positivo de COVID-19 que muestra una neumonía en la parte inferior de los pulmones.

 

Archivo - La radiografía de tórax de un paciente positivo de COVID-19 que muestra una neumonía en la parte inferior de los pulmones.

Radiografía del tórax @ep


Los científicos creen que han desarrollado una prueba de diagnóstico de Covid-19 casi instantánea que utilizará rayos X - una radiografía- en lugar de test PCR con una precisión del 98%. Se ha afirmado que el programa de Inteligencia Artificial ofrecería resultados en cuestión de minutos y sería un gran impulso para el personal sanitario.


Los expertos de la Universidad del Oeste de Escocia dicen que la velocidad de los resultados ayudaría en la batalla de primera línea contra el virus mortal . Una prueba de PCR suele tardar unas dos horas en informar de un resultado positivo o negativo.


Pero el programa de Inteligencia Artificial detecta el virus mucho más rápido y la idea impulsaría la atención hospitalaria en todo el mundo. El proceso de IA utiliza un algoritmo para analizar imágenes visuales y hacer un diagnóstico rápido.


El profesor Naeem Ramzan dirigió el equipo de tres personas detrás del proyecto, en el que también participaron Gabriel Okolo y el Dr. Stamos Katsigiannis. En su última actualización, escribió: "Durante mucho tiempo ha existido la necesidad de una herramienta rápida y confiable que pueda detectar Covid-19 , y esto se ha vuelto aún más cierto con el auge de la variante Omicron".






"Varios países no pueden realizar una gran cantidad de pruebas de covid debido a las limitadas herramientas de diagnóstico, pero esta técnica utiliza tecnología de fácil acceso para detectar rápidamente el virus. Los síntomas de covid-19 no son visibles en las radiografías durante las primeras etapas de la infección, por lo que es importante tener en cuenta que la tecnología no puede reemplazar por completo las pruebas de PCR", explica el doctor.


"Sin embargo, aún puede desempeñar un papel importante en la reducción de la propagación de virus, especialmente cuando las pruebas de PCR no están disponibles. Podría resultar crucial, y potencialmente salvar vidas, al diagnosticar casos graves del virus, ayudando a determinar qué tratamiento puede ser necesario", concluye. 


Sin comentarios

Escribe tu comentario




He leído y acepto la política de privacidad

No está permitido verter comentarios contrarios a la ley o injuriantes. Nos reservamos el derecho a eliminar los comentarios que consideremos fuera de tema.
AHORA EN LA PORTADA
ECONOMÍA