Investigadores encuentran un posible tratamiento eficaz para el linfoma agresivo
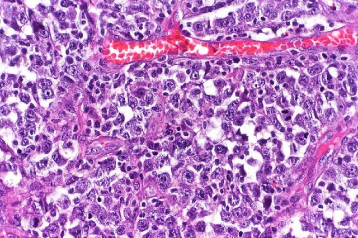
El estudio, publicado en la revista 'Cancer Discovery', ha descubierto que tener una mutación en una de las dos copias de SETD2 en las células B puede conducir a una proliferación de células que no repararan fácilmente su ADN mutado , causando un linfoma difuso de células B gr linfoma andes (DLBCL).

Las mutaciones de ADN son esenciales para el desarrollo rápido de una serie de células inmunitarias productoras de anticuerpos llamadas células B que, en conjunto, pueden reconocer una gran cantidad de objetivos específicos pero este proceso puede salir mal en personas con una mutación en un gen llamado SETD2 , lo que lleva a un tipo de cáncer de sangre agresivo, según ha revelado un estudio realizado por investigadores de Weill Cornell Medicine (Estados Unidos).
El estudio, publicado en la revista 'Cancer Discovery' , ha descubierto que tener una mutación en una de las dos copias de SETD2 en las células B puede conducir a una proliferación de células que no repararan fácilmente su ADN mutado , causando un linfoma difuso de células B gr linfoma andes (DLBCL).
Sin embargo, cuando ambas copias de este gen mutan a la célula cancerosa, es fatal para la célula, lo que sugiere que los medicamentos que se dirigen a SETD2 podrían ofrecer una opción de tratamiento eficaz para este tipo de linfoma ”, ha comentado el autor principal, Ari Melnick.
Los investigadores han encontrado previamente que la mutación SETD2 pasa de forma desproporcionada a DLBCL en personas de ascendencia africana. El linfoma difuso de células B linfoma grandes se desarrolla en las células B de los ganglios linfáticos de humanos, perros y algunos otros mamíferos. Para comprender las causas subyacentes, el autor principal, Wilfred Leung, ha examinado las células B de ratones modificados genéticamente porque carecían de una copia de SETD2.
"Encontramos una nueva forma en que se forma el cáncer dentro de las células B", ha manifestado el coautor del estudio, Christopher Mason. Los experimentos también revelaron que tener dos copias mutadas de SETD2 es perjudicial para las células cancerosas, lo que sugiere que los medicamentos dirigidos a SETD2 podrían ser una opción de tratamiento eficaz para las personas con este tipo de cáncer.
Este estudio nos acerca a una medicina de precisión para un tipo de cáncer que afecta desproporcionadamente a las personas de ascendencia africana. Esto es importante porque la mayoría de las investigaciones sobre el cáncer se han centrado sólo en las poblaciones europeas y asiáticas”, ha sentenciado el doctor Mason.
Escribe tu comentario