​La leucemia linfática crónica tendrá cura en menos de diez años

El hematólogo Francesc Bosch explica que el avance científico de los últimos cinco años "ha sido brutal".

|
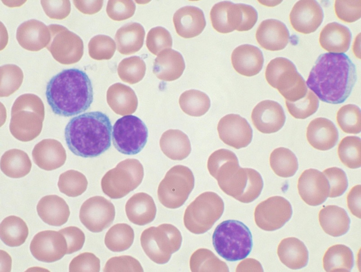
Leucemia linfática crónica

 

El presidente del Grupo Español de Leucemia Linfática Crónica (GELLC) y jefe del servicio de Hematología en el Hospital Universitario Vall d'Hebron (Barcelona), Francesc Bosch, ha considerado que, gracias a la aparición de nuevos fármacos, "en menos de diez años" se estará "curando esta enfermedad".


Leucemia linfu00e1tica cru00f3nica


"El avance de los últimos cinco años ha sido brutal y la previsión es que en menos de una década, probablemente, estemos curando la leucemia linfática crónica", ha aseverado en una entrevista con la Universidad Internacional Menéndez Pelayo (UIMP) de Santander, en la que dirige el 'II Encuentro práctico para el conocimiento y tratamiento de la leucemia linfocítica crónica'.


La leucemia linfática crónica consiste en la presencia de células malignas en sangre y, según ha explicado Bosch, se califica como "crónica" porque "aparece de forma muy tranquila", a diferencia de la leucemia aguda, que "empieza de golpe".


El presidente del grupo Español de Leucemia Linfática Crónica ha detallado que también se la denomina "linfática" porque esas células malignas que se encuentran en la sangre son linfocitos, un tipo de células blancas que se incrementan en el flujo sanguíneo.


Bosch ha lamentado que, aunque un paciente de leucemia crónica necesita un tratamiento "urgente", del 30 al 40% de las leucemias crónicas "no se tratan porque el paciente está asintomático", es decir, no tiene ninguna manifestación de su enfermedad.


Respecto a los factores que predisponen la aparición de la enfermedad, el hematólogo ha recalcado que el más importante es la edad.


"La mediana de edad de diagnóstico es de aproximadamente 70 años", ha revelado, al tiempo que ha hecho hincapié en que este tipo de leucemia "es una enfermedad de personas que ya son mayores".

Sin comentarios

Escribe tu comentario




He leído y acepto la política de privacidad

No está permitido verter comentarios contrarios a la ley o injuriantes. Nos reservamos el derecho a eliminar los comentarios que consideremos fuera de tema.
AHORA EN LA PORTADA
ECONOMÍA