El hígado graso puede causar daños a otros órganos
El hígado de los pacientes con esteatosis hepática produce cada vez más glucosa, grasas y proteínas desfavorables como la hepatokine fetuin-A. Estas se liberan en el torrente sanguíneo y las sustancias que secreta el hígado provocan reacciones.

Fotografía del IDM.
Investigadores de la Universidad de Tübingen (Alemania) han descubierto que la enfermedad del hígado graso no alcohólico, esteatosis hepática, puede causar daños a otros órganos.
El hígado de los pacientes con esteatosis hepática produce cada vez más glucosa, grasas y proteínas desfavorables como la hepatokine fetuin-A. Estas se liberan en el torrente sanguíneo y las sustancias que secreta el hígado provocan reacciones. Hasta ahora, no se sabía qué efectos tiene esta "diafonía de órganos", y cuál eran los órganos más afectados y el "daño" que causaba la hepatokina fetuína-A.
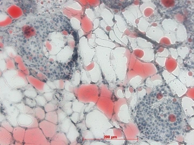
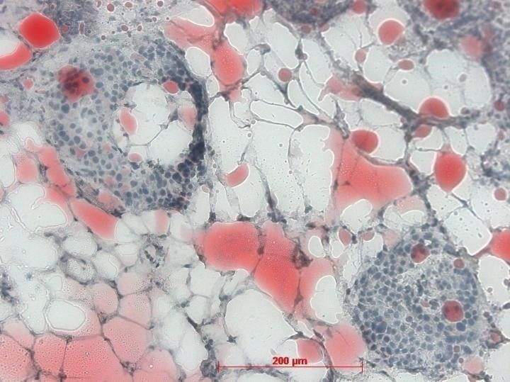
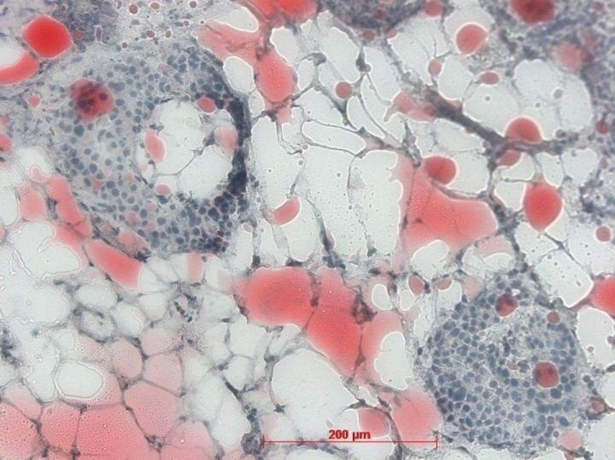
Aproximadamente un tercio del tejido adiposo pancreático se compone de células precursoras adiposas (un tipo de células madre) además de las células adiposas maduras. Los investigadores analizaron histológicamente muestras de tejido de 90 pacientes y encontraron que la proporción de la grasa pancreática variaba enormemente. De hecho, el número de células de defensa del sistema inmunológico (monocitos/macrófagos) se incrementó significativamente en áreas donde se habían acumulado muchas células adiposas.
"El factor que conduce a cambios patológicos es la fetuina-A, que es producida por el hígado graso. Como resultado, en lugar de proteger el tejido como antes, el tejido adiposo ahora provoca procesos inflamatorios, lo que conduce a una restricción de la función renal", han explicado los expertos.
Escribe tu comentario